Written by 12:36 pm Mundo Views: [tptn_views]

Científicos publican primer borrador de un atlas celular humano

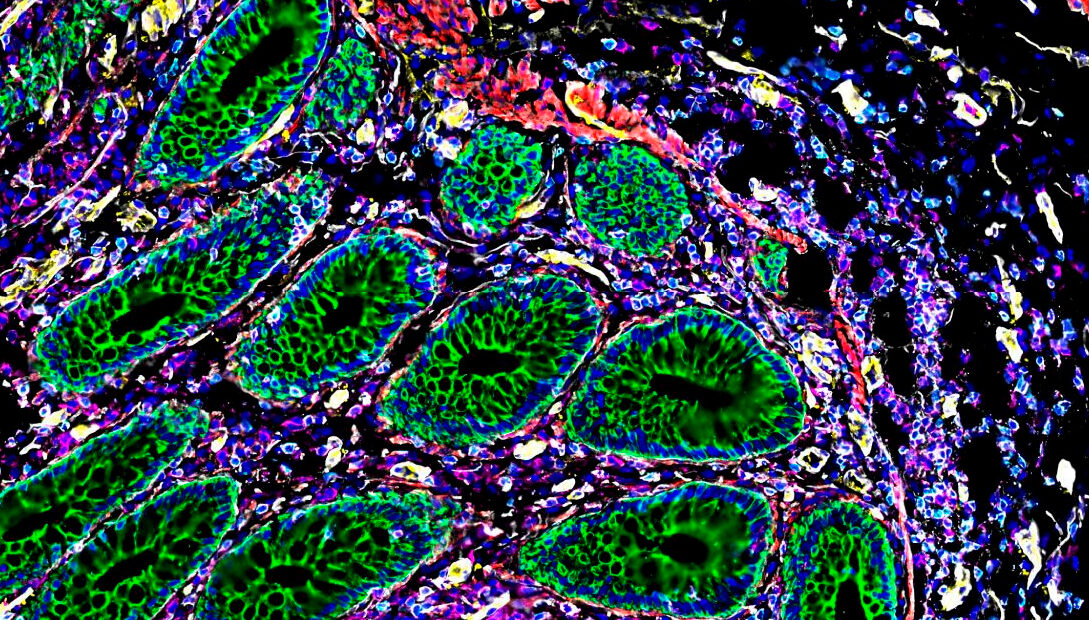
Este mapa preliminar de las células del cuerpo humano promete revolucionar el estudio de la salud y enfermedades como el cáncer.

Investigadores han presentado un mapa preliminar que traza las funciones y relaciones de algunas de las 37.2 billones de células que componen el cuerpo humano. Este avance, considerado un primer borrador, tiene como objetivo profundizar el conocimiento de la biología celular y su relación con la salud y enfermedades como el cáncer.

El proyecto, liderado por el consorcio Human Cell Atlas y publicado en Nature y otras revistas científicas, esquematiza células de órganos clave como la boca, el estómago y los intestinos, además de aquellas que forman huesos y articulaciones. También analiza cómo las células se agrupan en tejidos, su ubicación en el cuerpo y su evolución con el tiempo.

“Cuando las cosas salen mal, primero que nada salen mal con nuestras células”, señaló Aviv Regev, copresidente del consorcio. Este atlas de libre acceso busca ser una herramienta fundamental para combatir enfermedades que dañan o corrompen las células humanas.

El doctor Timothy Chan, experto en cáncer de la Cleveland Clinic, destacó que el mapa no solo identifica los distintos tipos de células, sino que también detalla sus interacciones. “Cada tipo de células tiene su talón de Aquiles. Esto va a ser una bendición en la investigación contra el cáncer”, afirmó.

El consorcio planea lanzar una versión más completa del atlas en 2026, la cual incluirá perfiles celulares de 18 órganos y sistemas como la piel, el corazón y las glándulas mamarias.

Además, los científicos trabajan en otros atlas especializados, como uno del microbioma intestinal, para comprender mejor la digestión y la salud inmunológica, y otro enfocado en células neuronales para analizar la estructura y función del cerebro.

Este esfuerzo internacional promete abrir nuevas puertas en el tratamiento de enfermedades y en la comprensión integral del cuerpo humano.

Close